Elevate Your Smile with Dental Implants
Dental Implant Expert - Denver, PA
Experience
Reviews
Affordable
Rebuild Your Smile with Advanced Implant Solutions


Patient-Focused Care | Your goals guide every step of the process as we prioritize your best interests.
Specialized Services | Our focus on smile restoration means lower costs, fewer visits, and superior results.
Advanced On-Site Technology | Our modern equipment, located directly at our facility, helps reduce costs, speeds up treatment times, and minimizes the risk of complications.
Transparent Pricing | After your consultation, you’ll know exactly how much your procedure will cost. We also offer flexible financing options.
Comfort & Pain Management | We offer a range of sedation options to alleviate anxiety and discomfort.
Hundreds of Smiles Restored | Dr. Jake Pranckun, a highly regarded implant dentist in Denver, has restored hundreds of smiles. Dental implants (artificial tooth roots placed in the jaw) are his passion, and he’s renowned for changing lives with this expertise.



Our Implant Specialist
Meet Dr. Jake Pranckun
Top-Qualified Dentist in Denver, PA
Select an Option to Learn More

Teeth in a Day
Teeth in a Day, is an advanced dental implant solution for those with severely compromised or missing teeth. Ideal for those frustrated with dentures or the pain of failing teeth, this treatment uses four to six implants to create a fixed, reliable replacement.
The implants are securely anchored, functioning like natural teeth to provide stability and eliminate concerns about slipping, breaking, or shifting. Patients can speak, laugh, and eat comfortably with full confidence.
Thanks to our in-house digital lab, patients leave the office the same day with a temporary set of functional teeth, allowing them to heal with ease. Dr. Jake Pranckun’s expertise in All-on-4 restores smiles and function quickly, giving patients renewed confidence.
Teeth In A Day
$29,000
$25,000 per arch

Snap-In Implant Dentures
Snap-In Dentures, also known as Click-In Dentures or Overdentures, offer a cost-effective alternative to traditional dentures, providing added retention with strategically placed implants.
These dentures are removable for easy cleaning but deliver superior stability compared to conventional dentures. Implants can eliminate the palate portion of upper dentures, reducing gag reflex and improving taste sensation, while also stabilizing loose lower dentures.
Snap-In Dentures enhance confidence, comfort, and functionality, significantly improving quality of life.
snap in
2 Implant
$9,500
$135/mo
snap in
4 Implant
$12,500
$160/mo
Single & Multi-Tooth Implants

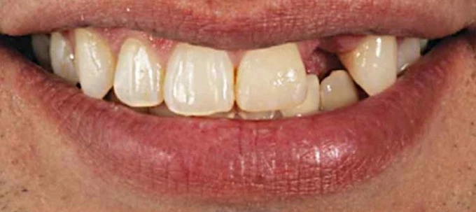
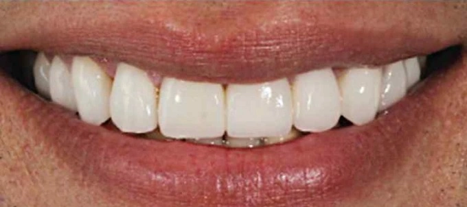
Single Tooth Implant
Dental implant restorations are prosthetic teeth designed to attach to implants and restore your smile. For a single missing tooth, a dental crown is commonly used, crafted to blend seamlessly into your smile and function just like a natural tooth. Paired with a titanium implant, this new tooth provides durability and natural functionality.
You can care for Single Tooth Implants just like natural teeth—regular brushing and flossing will keep them healthy and strong. With proper care, dental implants can last over 30 years.

Multi-Tooth Implant Bridge
Single back tooth implant
$4,143
$110/mo
Note: Take a screenshot of this offer and show it to us to claim this special deal!
Implant Bridge
$8,581
$135/mo

You Pay Less With Us. See For Yourself.
Available Financing & Payment Options
Hear from Our Satisfied Patients

Frequently asked questions
Give us a call!
At Cocalico Dental, we guarantee the best price for your dental implant treatment without compromising quality. Thanks to our cutting-edge technology and in-house lab, we complete your entire procedure and teeth fabrication under one roof. This means fewer visits, faster turnaround times, more precise results—and significant savings passed on to you!
Call today to find out how much you can save on your dental implant treatment at Cocalico Dental!



